Paradontologija

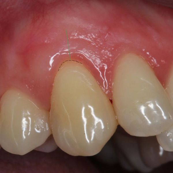
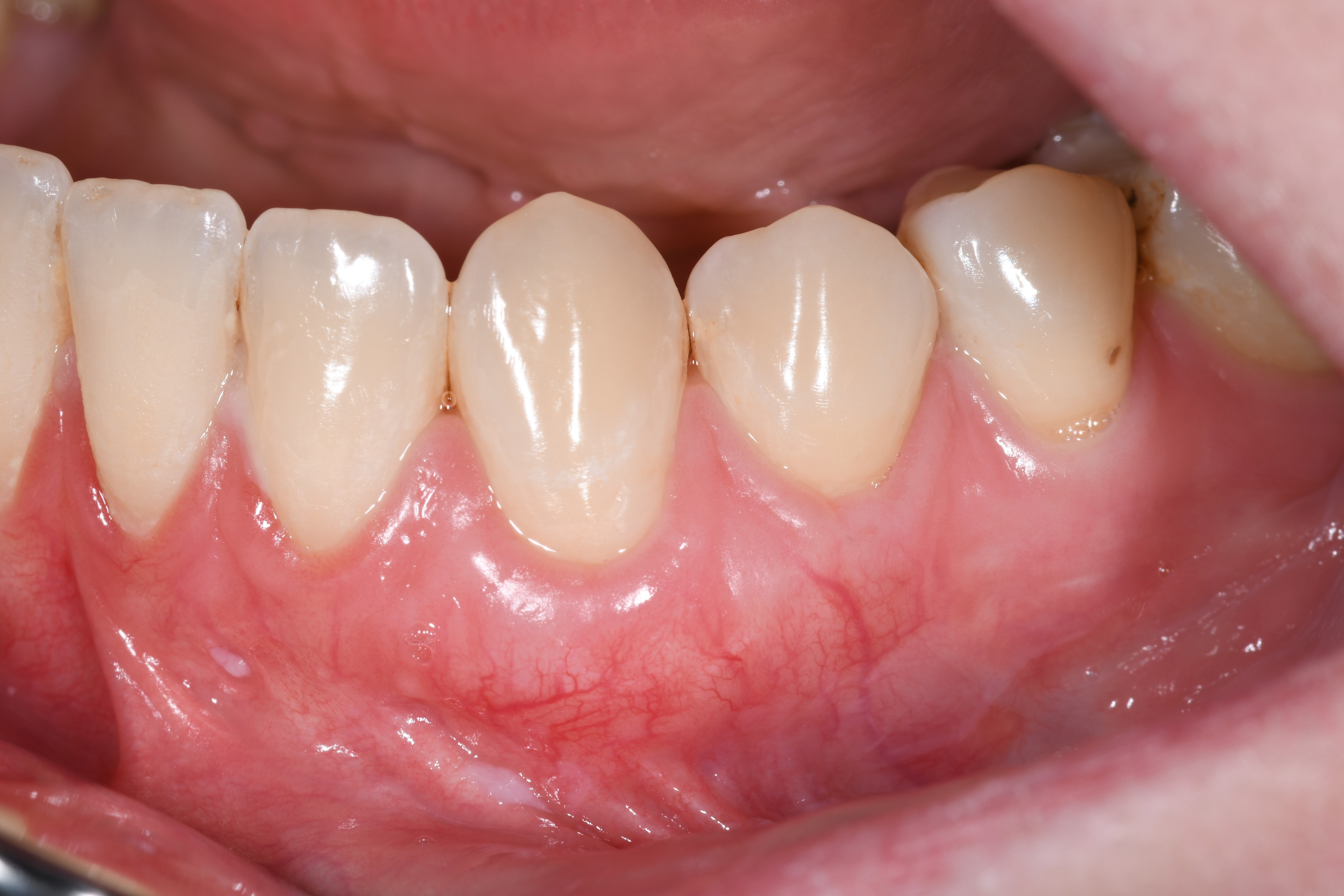
Prekrivanje recesija gingive spada u visoko specijalizirane mikrokirurške zahvate u parodontologiji.Osim samog prekrivanja recesije važna je i kvaliteta gingive oko zuba(pričvrsna gingiva). Predvidljivost rezultata nakon operacije ovisi o tipu i zahvaćenosti recesije.
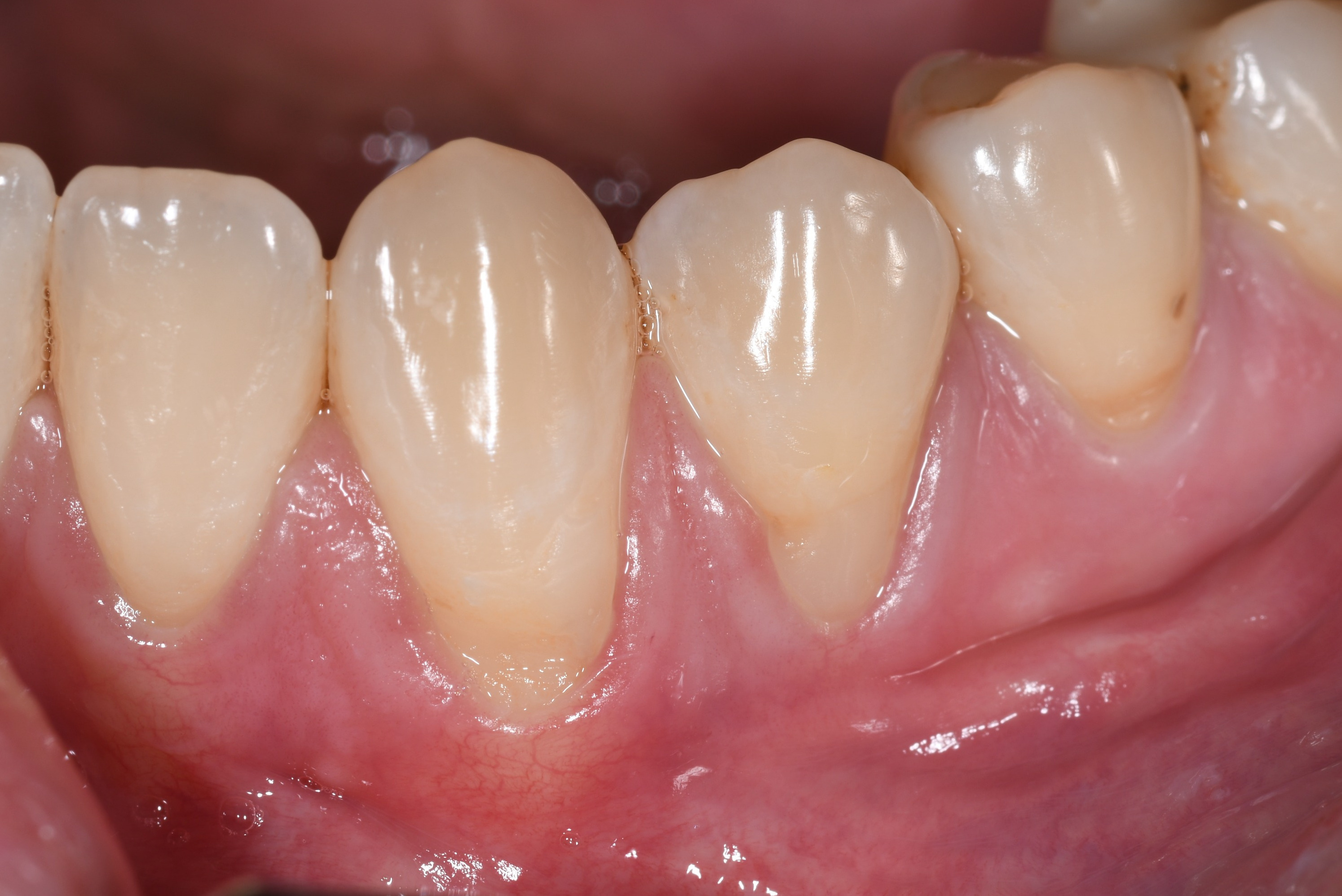
Ovdje je prikaz slučaja operativnog zahvata recesije(Miller klasa 1) i situacija 2. godine nakon zahvata.


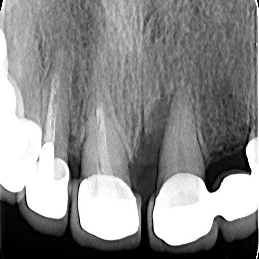
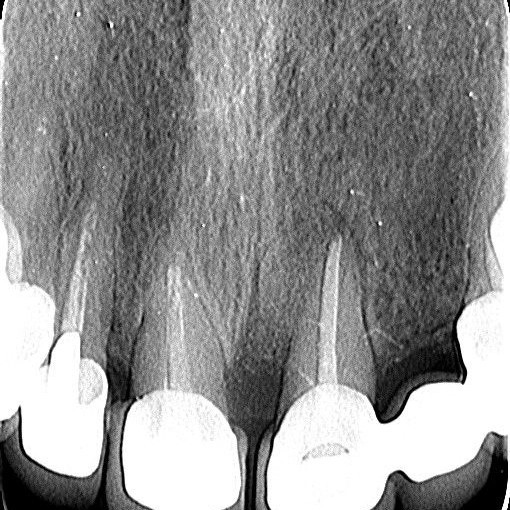
Regenerativni parodontološki zahvat kojim se kirurškim putem regenerirao infrakoštani defekt(parodontološki džep)


Retrakcija gingive


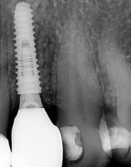
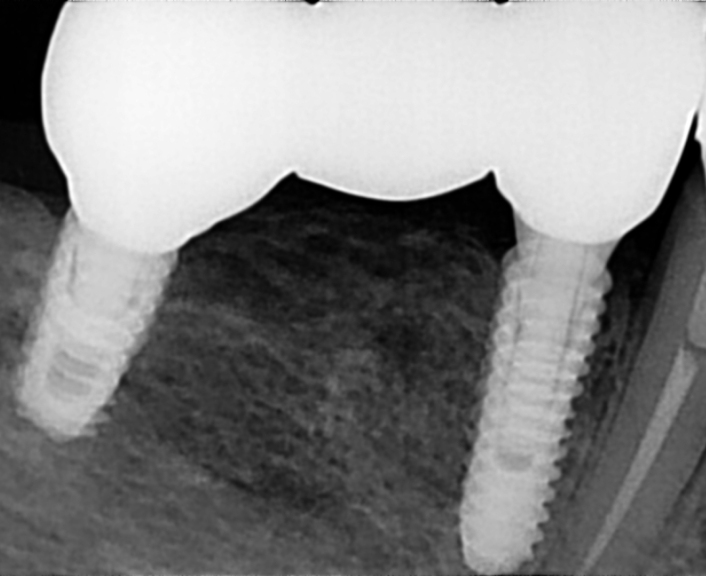
Oralna kirurgija



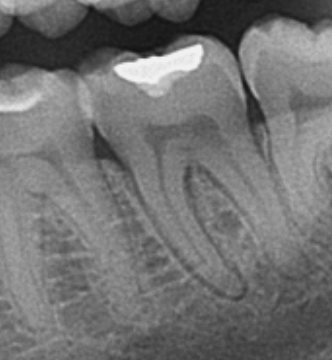
Endodoncija



