Endodoncija je grana stomatologije koja se bavi liječenjem korijenskih
kanala zuba.
Najčešći razlog zbog kojeg zubi trebaju liječenje je karijes, uzrokovan
patogenim bakterijama. Na zubima koji su zahvaćeni karijesom, a ne
liječe se na vrijeme, bakterije iz karijesa uništavaju tvrdo zubno tkivo te
dolazi do zahvaćanja zubnog živca, čime nastaje upala zuba, odnosno
pulpitis. Rjeđi razlog zašto zubi trebaju liječenje jest trauma na pojedinim
zubima.
Simptomi koji upućuju da je na zubu potrebna endodontska terapija su
jaka bol u širem području oko određenog zuba,pulzirajuća bol,iznenadna
oteklina područja oko tog zuba a ponekad nema nikakvih simptoma
osim postojećeg periapikalnog procesa(granuloma) na RTG snimci.
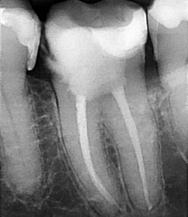
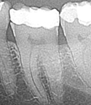
Terapija se sastoji od zahvata kojim se takav inficirani zub otvara, čisti
od karijesa te posebnim instrumentima ulazi u kanale koji se čiste od
infekcije. Korijenski kanali pune se biokompatibilnim materijalom koji brtvi
i onemogućuje reinfekciju endodontskog prostora.
U našem dental centru koristimo najsuvremenije i najpreciznije materijale
za instrumentaciju korijenskih kanala.Naravno,ne završi svako liječenje
sretnim ishodom ali se mi svojim znanjem i vještinama svakako trudimo
svakom liječenju zuba pristupiti sa posebnim značajem i znanjem.

